Year
Month

(Peer-Reviewed) Extracts of Portulaca oleracea promote wound healing by enhancing angiology regeneration and inhibiting iron accumulation in mice
Jinglin Guo 郭景琳 ¹, Juan Peng 彭娟 ², Jing Han 韩晶 ¹, Ke Wang 王珂 ³, Ruijuan Si 司瑞娟 ¹, Hui Shan 山慧 ¹, Xiaoying Wang 王晓莹 ¹, Ju Zhang 张菊 ¹
¹ School of Nursing, Qingdao University, Qingdao 266071, China
中国 青岛 青岛大学护理学院
² Surgery of Traditional Chinese Medicine, Second Affiliated Hospital of Tianjin University of Traditional Chinese Medicine, Tianjin 300150, China
中国 天津 天津中医药大学第二附属医院中医外科
³ School of Pharmacy, Qingdao University, Qingdao 266071, China
中国 青岛 青岛大学药学院
Abstract

Objective

To investigate the role of Portulaca oleracea (POL) in promoting revascularization and re-epithelization as well as inhibiting iron aggregation and inflammation of deep tissue pressure injury (DTPI).

Methods

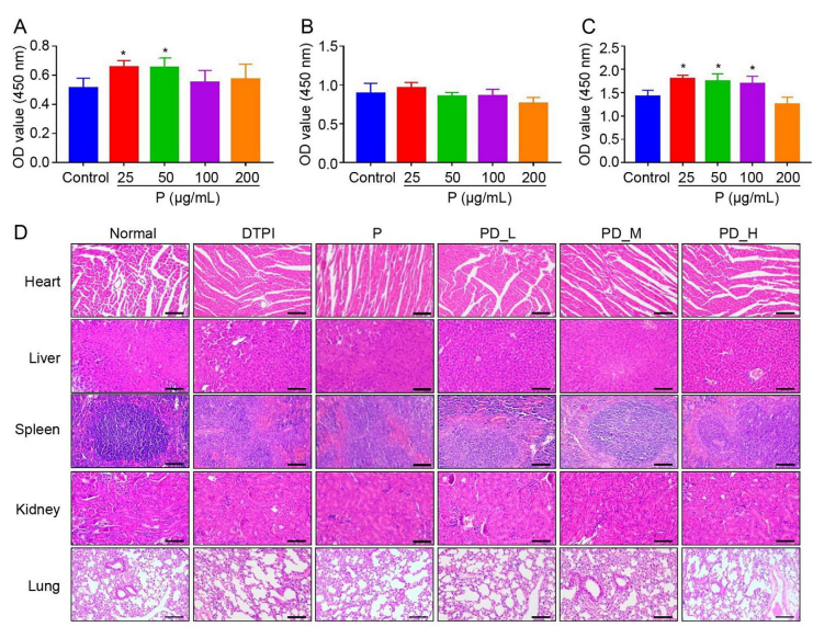
The hydroalcoholic extract of POL (P) and aqueous phase fraction of POL (PD) were prepared based on maceration and liquid–liquid extraction. The number of new blood vessels and VEGF-A expression level were assessed using H&E stain and Western blot on injured muscle to examine the role of POL different extracts in vascularization. The iron distribution and total elemental iron of injured muscle were detected using laser ablation inductively coupled plasma mass spectrometry (ICP-MS) and Perls’ staining to determine whether POL extracts can inhibit the iron accumulation. Besides, the ability of POL extracts to promote wound healing by combining re-epithelization time, inflammation degree and collagen deposition area were comprehensively evaluated.

Results

In vitro, we observed a significant increase in HUVEC cell viability, migration rate and the number of the tube after P and PD treatment (P < 0.05). In vivo, administration of P and PD impacted vascularization and iron accumulation on injured tissue, evident from more new blood vessels, higher expression of VEGF-A and decreased muscle iron concentration of treatment groups compared with no-treatment groups (P < 0.05). Besides, shorter re-epithelization time, reduced inflammatory infiltration and distinct collagen deposition were associated with administration of P and PD (P < 0.05).

Conclusion

POL extract administration groups have high-quality wound healing, which is associated with increased new blood vessels, collagen deposition and re-epithelization, along with decreased iron accumulation and inflammatory infiltration. Our results suggest that that POL extract is beneficial to repair injured muscle after ischemia–reperfusion, highlighting the potential of POL in the DTPI treatment.
Extracts of Portulaca oleracea promote wound healing by enhancing angiology regeneration and inhibiting iron accumulation in mice_1
Extracts of Portulaca oleracea promote wound healing by enhancing angiology regeneration and inhibiting iron accumulation in mice_2
Extracts of Portulaca oleracea promote wound healing by enhancing angiology regeneration and inhibiting iron accumulation in mice_3
Extracts of Portulaca oleracea promote wound healing by enhancing angiology regeneration and inhibiting iron accumulation in mice_4
  • High-speed and large-capacity visible light communication for 6G: advances and perspectives
  • Nan Chi, Zhilan Lu, Fujie Li, Haoyu Zhang, Yunkai Wang, Xinyi Liu, Zhiwu Chen, Zhe Feng, Zhuoran Hu, Zhixue He, Ziwei Li, Chao Shen, Junwen Zhang
  • Opto-Electronic Technology
  • 2026-03-20
  • Multi-dimensional photodetection: from material intrinsic properties and metasurface engineering to silicon photonic integration
  • Wenqi Liu, Zilan Tang, Qingzhao Hua, Liang Liu, Xiaoxia Wang, Anlian Pan
  • Opto-Electronic Technology
  • 2026-03-20
  • Holotomography-driven learning unlocks in-silico staining of single cells in flow cytometry by avoiding fluorescence co-registration
  • Daniele Pirone, Giusy Giugliano, Michela Schiavo, Annalaura Montella, Martina Mugnano, Vincenza Cerbone, Maddalena Raia, Giulia Scalia Ivana Kurelac, Diego Luis Medina, Lisa Miccio Mario Capasso, Achille Iolascon, Pasquale Memmolo, Pietro Ferraro
  • Opto-Electronic Science
  • 2026-02-25
  • Narrow beam and low-sidelobe electro-optic beam steering on thin-film lithium niobate optical phased array
  • Yang Li, Shiyao Deng, Xiao Ma, Ziliang Fang, Shufeng Li Weikang Xu, Fangheng Fu, Xu Ouyang, Yuming Wei, Tiefeng Yang Heyuan Guan, Huihui Lu
  • Opto-Electronic Science
  • 2026-02-25
  • Scene-level passive polarization 3D imaging
  • Xin Wang, Pingli Han, Xiyuan Luo, Qianqian Liu, Tong Zhang, Xue Dong, Meng Xiang, Jinpeng Liu, Yanyan Liu, Fei Liu
  • Opto-Electronic Advances
  • 2026-02-12
  • Modelling-guided inverse design strategy for semitransparent perovskite photovoltaics with customized colors
  • Seok-Beom Seo, Rira Kang, Eun-Joo Lee, So-Yeon Ju, Min Jae Lee, Byunghong Lee, Sun-Kyung Kim
  • Opto-Electronic Advances
  • 2026-02-12
  • A hybrid integrated high-precision tunable semiconductor laser
  • Yiran Zhu, Botao Fu, Zhiwei Fang, Qiyue Hu, Jianping Yu, Yunpeng Song, Yu Ma, Min Wang, Kunpeng Jia, Zhenda Xie, Ya Cheng
  • Opto-Electronic Advances
  • 2026-02-12
  • Soft chiral superstructure enabled dynamic polychromatic holography
  • Chun-Ting Xu, Lu Li, Quan-Ming Chen, Guang-Yao Wang, Wei Hu
  • Opto-Electronic Advances
  • 2026-02-12
  • Millisecond-level electrically switchable metalens for adaptive rotational depth mapping and diffraction-limited imaging
  • Yeseul Kim, Jihae Lee, Won-Sik Kim, Hyeonsu Heo, Dongmin Jeon, Beomha Yang, Xiaotong Li, Harit Keawmuang, Shiqi Hu, Young-Ki Kim, Trevon Badloe, Junsuk Rho
  • Opto-Electronic Advances
  • 2026-02-12
  • Ambient-energy-driven space-time-coding metasurface for space-frequency-division multiplexing wireless communications
  • Han Wei Tian, Chao Song, Dong Jie Wang, Qian Zhu, Tie Jun Cui, Wei Xiang Jiang
  • Opto-Electronic Advances
  • 2026-02-12
  • Ultra-sensitive multi-band infrared polarization photodetector based on 1T'-MoTe₂/2H-MoTe₂ van der Waals heterostructure
  • Yuting Pan, Lidan Lu, Bofei Zhu, Chunhua An, Jing Yu, Guanghui Ren, Jian Zhen Ou, Mingli Dong, Zheng You, Lianqing Zhu
  • Opto-Electronic Advances
  • 2026-02-09
  • Tunable compound eyes with coaxial lens-on-lens ommatidia for cooperative bi-focal imaging
  • Zhi-Juan Sun, Wei-Jian Zhong, Qing Cai, Yi-Fan Lu, Chang-Xu Li, Dong-Dong Han, Yong-Lai Zhang
  • Opto-Electronic Advances
  • 2026-02-09



  • Advances in femtosecond laser direct writing of fiber Bragg gratings in multicore fibers: technology, sensor and laser applications        Applications of optically and electrically driven nanoscale bowtie antennas
    About
    |
    Contact
    |
    Copyright © PubCard